본문 바로가기
주메뉴 바로가기
중고기계 서비스 만족도 1등 플랫폼
로그인
회원가입
공식블로그
제품검색
검색어
메뉴
제품명, 제조사, 모델명으로 산업기계를 검색해 보세요
주메뉴
카탈로그
포장기계
포장기계
밴드실러
실링기
마킹기
선별기
피더
라벨기
랩핑기
캡핑기
진공포장기
파우치포장기
제함기테이핑기
계량기
기타포장기계
충진기
로타리포장기
식품기계
식품기계
착츱추출기
육절기
반죽혼합기
제빙기
식품제조생산
식품포장
슬라이서
커터절단기
기타식품기계
공작기계
공작기계
밀링
머시닝센터
조각기라우터
드릴링기계
연마연삭
탭핑센터
선반
톱기계
절단기
방전가공
기타공작기계
절삭기
성형기계
성형기계
프레스
절곡기
사출기
압출기
펀칭기
밴딩포밍기
진공성형
다이캐스팅
기타성형기계
산업기계
산업기계
인쇄기계
섬유기계
목공기계
제조생산기계
마스크기계
슬리팅기계
파쇄기
분쇄기
롤볼비드밀
라미네이터
추출기
재단기
도장코팅기
초순수제조장치
금속검출기
초음파융착열압착
권선기탈피기
배합혼합
증착기전처리
샌딩기합지기
언코일러
기타산업기계
측정장비
측정장비
오실로스코프
계량기저울
3차원측정기
온도계
유량계
기록계
버니어캘리퍼스
투영기
열화상카메라
기타측정장비
소음측정
측정기
수분측정
스캐너
전기전자측정
경도측정
분석장비
분석장비
HPLC
분광광도계
PCR
가스크로마토그래피
SEM이미지분석기
열분석기
엑스레이XRD
가스분석기
기타분석장비
실험연구장비
실험연구장비
항온수조
클린벤치무균작업대
점도계
히팅맨틀
원심분리기
현미경
실험가공장비
기타실험연구장비
테스트장비
테스트장비
시험기
검출기
검사장비
기타테스트장비
반도체장비
반도체장비
스퍼터
노광박리에칭
본더
절단다이싱
테스터검사
폴리싱연마
기타반도체장비
프로브스테이션
스핀코터
레이저장비
레이저장비
레이저마팅기
레이저용접기
레이저가공기
레이저절단기
레이저용접기
기타레이저장비
산업장비
산업장비
바이오의료장비
PCB
UV시스템
로봇
표면처리
디스펜서
교반기
플라즈마
기타장비
2차전지
산업기기
산업기기
집진기
공조기
흔들채
정반
히터열풍기
칠러
핫플레이트
송풍기
배양기인큐베이터
멸균기
보일러
보관함
기타산업기기
동결건조기
발생기
산업용품부자재
클린룸관련
콤프레셔
전기전자
전기전자
PLC
파워서플라이
UPS
모터
컨트롤러
드라이버
변압기
앤코더로드셀
발전기
인버터
스캐너
앰프증폭기
제너레이터
통신영상음향
아날라이져
기타전기전자
전기로열처리로
전기로열처리로
전기로열처리로
항온항습챔버
항온항습챔버
항온항습챔버
오븐건조기
오븐건조기
오븐건조기
세척기
세척기
세척기
탱크호퍼
탱크호퍼
탱크호퍼
용접기
용접기
용접기
펌프
펌프
펌프
믹서
믹서
믹서
냉장냉동
냉장냉동
냉장냉동
프린터3D프린터
프린터3D프린터
프린터3D프린터
콤프레셔
콤프레셔
콤프레셔
공구
공구
측정공구
전동공구
기계공구
절삭공구
에어공구
드릴공구
기타공구
운반물류
운반물류
컨베이어
지게차
리프트스태커
크레인
기타운반물류
부품
부품
공압부품
기계부품
반도체부품
연구측정부품
레이저부품
밸브
필터
카메라
기타부품
온도공압수압기타제어
센서
광학부품
실린더
전기전자부품
기타
기타
기타
회사소개
회사소개
이용방법
판매방법
구매방법
서비스 이용방법(판매자)
서비스 이용방법(구매자)
제품등록(무료)
판매기기 정보입력
고객센터
고객센터
자주하는질문
공지사항
1:1문의사항
건의사항
구매문의 진행현황
카탈로그
회사소개
이용방법
제품등록(무료)
고객센터
HOME
>
카탈로그
>
SNS 공유하기
관심기기등록
1:1 문의하기
허위매물신고
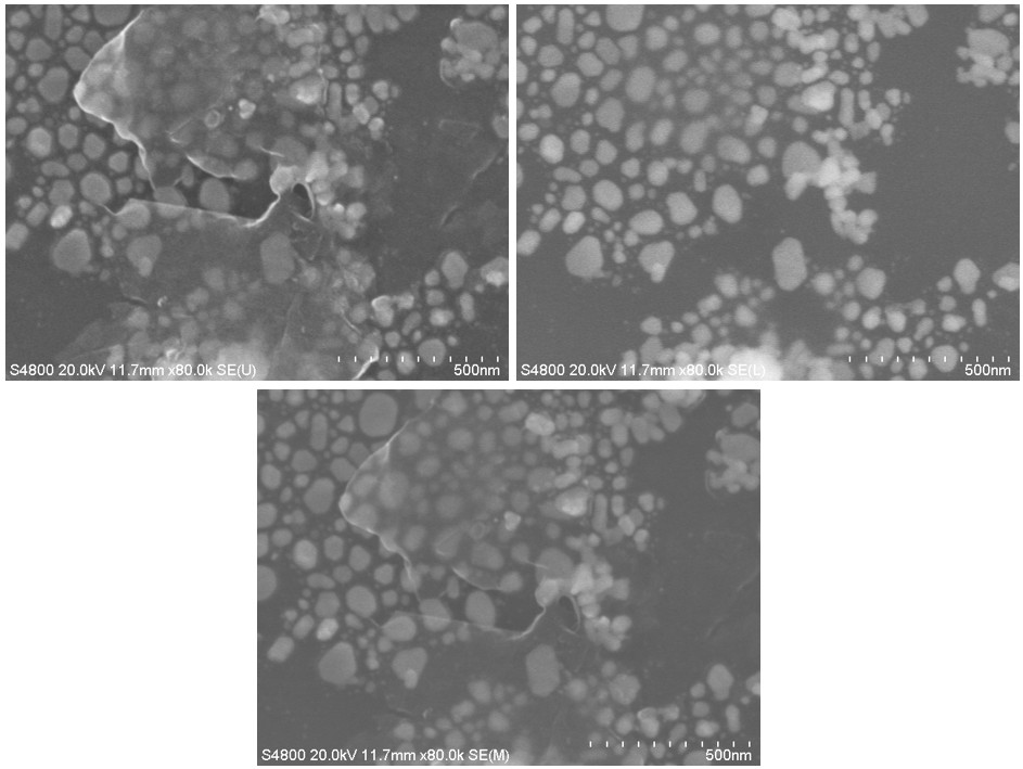
FE-SEM 주사전자현미경 HITACHI S-4800
견적 요청
1:1문의하기
판매정보 및 견적서를 받아보세요.
가격협의
가격 제안하기
202603170006
조회수 : 10
[제품 정보]
제조사 : HITACHI
모델명 : S-4800
년식 :
설비제원 :
Resolution
1.0 nm @ 15kV, 4 mm WD
1.4 nm @ 1kV, 1.5 mm WD, Deceleration mode
Magnification
LM Mode : 20 to 2,000x
HM Mode : 100 to 800,000x
Electron Gun
Cold cathode field emission electron source
Accelerating Voltage
0.5 to 30kV
Stage
3-Axis Motor drive
X : 0 to 50 mm Y : 0 to 50 mm
Z : 1.5 to 30 mm T : -5 to +70°
R : 360°
Detector
Secondary electron detector (Upper & Lower)
[판매 조건]
이설설치비용 : 포함
NEGO 가능여부 : 협의가능
보증기간 : 3개월
세금계산서 : 가능
시운전가능여부 : 가능
[판매 정보]
자세한 판매정보를 확인 하시려면 로그인해주세요.
판매구분 : 기업
판매자 : 장**
휴대폰 : 0109161****
보관위치 : 경기>수원시
업체명 : 우****
전화번호 : ****
퀵메뉴
구매문의(무료)
원하시는 제품을 찾아드리고 견적을 제공해 드립니다.
서비스 상세 설명
공지사항
카테고리별 중고기계 리스...
링크머신 판매 및 핵심 서...
[거래 후기] 중고기계 '초순...
more
고객센터
1544-7859
link@linkmachine.co.kr
평일 : 09:00 ~18:00
점심 : 12:00 ~13:00
주말 · 공휴일 휴무